Ao citar-se a palavra “Dentística”, percebe-se ser um termo desconhecido pela população. No entanto, das mais lembradas quando são citados os seus procedimentos: restaurações, clareamento dental, profilaxia, colagem de dentes fraturados. O objetivo deste capítulo é trazer aos leitores conhecimentos sobre a Dentística, seus procedimentos, sua importância na Odontologia e seu desenvolvimento tecnológico.
Define-se Dentística como a especialidade da Odontologia que trata das alterações dos dentes e tecidos circunvizinhos. Em outras palavras, é a área da Odontologia responsável por tratar da doença cárie, suas repercussões sobre a estrutura dental e alterações de forma, textura e cor dos dentes, devolvendo aos pacientes a saúde e aos dentes a estética, a função e a anatomia.
A Dentística é suportada por três conceitos atuais e fundamentais: promoção de saúde oral, preservação de estrutura dental e estética dental ou do sorriso. A seguir, estes três conceitos são comentados separadamente apenas por questão didática.
A Dentística e a doença cárieA Dentística talvez tenha surgido a partir da descoberta da doença cárie, no final do século XIX. Devido ao conhecimento limitado desta doença, o tratamento oferecido pelo dentista era a remoção do tecido lesado e a inserção de um material restaurador. Atualmente, sabe-se que a doença cárie é uma patologia infecto-contagiosa, dependente de inúmeros fatores que definem o seu desenvolvimento, ou a sua atividade. Desta forma, o tratamento da doença cárie está desvinculado da confecção de restaurações. Esta doença é tratada pelo profissional, incluindo conscientização, aconselhamentos, controle da dieta, incentivo à adequada higienização e controle da placa bacteriana, utilização de medicamentos auxiliares e, quando necessário, através de tratamentos clínicos.
Os procedimentos envolvidos na prevenção ou na promoção de saúde bucal são:
Conscientização dos pacientes: – “a cárie é uma doença transmitida entre pessoas. Uma vez infectado pelas bactérias da cárie (estreptococos, lactobacilos) o indivíduo poderá desenvolver a doença. Fatores secundários vão determinar o estado do paciente infectado: saúde ou doença. A doença geralmente ocorrerá caso o indivíduo não escove adequadamente os dentes, caso não passe o fio dental, caso consuma uma quantidade excessiva de açúcares, e/ou caso tenha diminuição do fluxo salivar, entre outros fatores”;
Diagnóstico de cárie: exame detalhado da cavidade bucal, especialmente dos dentes, auxiliado por radiografias, a fim de detectar qualquer alteração do estado de saúde do paciente ou situações de anormalidade dos tecidos dentais. A doença cárie pode ser detectada durante o exame diagnóstico, antes mesmo de formar uma cavidade no dente. O dentista é capaz de detectá-la pelas manchas brancas sobre o dente ou pela característica da placa bacteriana coletada durante o exame;
Promoção de saúde oral: conjunto de procedimentos que visam estabelecer a saúde, controlando ou eliminando o desenvolvimento da doença;de, controlando ou eliminando o desenvolvimento da doenr a saafias, ao diatamento;
Profilaxia: Limpeza dos dentes e dos tecidos de suporte com o objetivo de remover a placa dental;
Controle dietético: aconselhamento para o paciente portador de doença cárie, a fim de diminuir o consumo diário de açúcares.
Instrução de higiene oral: mostrar ao paciente como tornar efetiva a limpeza dos dentes, que deve ter o objetivo principal de remover adequadamente e diariamente a placa bacteriana. Neste aspecto, é importante saber que a escovação deve ser realizada sempre após as refeições, com movimentos suaves, em torno de dez vezes em cada face dos dentes, com escovas de cerdas macias. A pasta dental deve conter flúor, porém não deve conter qualquer substância abrasiva, como bicarbonato de sódio e agentes clareadores. O fio dental deve ser utilizado diariamente, nos espaços entre os dentes, massageando suavemente a papila da gengiva.
A Dentística e a preservação da estrutura dental
No passado a Odontologia não se preocupava em preservar os dentes danificados pela cárie ou por fraturas, conduzindo freqüentemente à extração destes elementos, culminando na instalação de próteses.
Posteriormente, o tratamento esteve focalizado no material restaurador, ou seja, não importava o quanto se desgastasse o dente, a preocupação era em criar as melhores condições possíveis para que o material fosse bem acomodado na estrutura dental. Isto porque os materiais disponíveis eram metálicos e não adesivos. Atualmente, devido ao conhecimento científico da doença cárie, ao desenvolvimento de técnicas e materiais restauradores adesivos, é possível preservar-se ao máximo a estrutura íntegra dos dentes. Assim, remove-se apenas o tecido danificado, o que torna a porção íntegra do dente uma estrutura praticamente intocável.
Os procedimentos envolvidos no conceito de preservação da estrutura dental são:
Selamento de sulcos e fissuras: este procedimento é também conhecido por selamento oclusal, e consiste em vedar com materiais adesivos partes mais profundas dos dentes, que poderiam acumular placa e levar ao desenvolvimento de lesões de cárie. O selamento é indicado para pacientes que não conseguem higienizar adequadamente os dentes. Também é indicado para indivíduos com limitações motoras ou mentais;
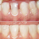
Remoção do tecido afetado pela cárie e restaurações: o objetivo deste procedimento é remover apenas o tecido danificado pela cárie, preservando todo o tecido sadio (ver figura 2). Posteriormente, insere-se um material que recupere a função, a anatomia e a estética dos dentes;
Utilização de materiais restauradores adesivos: os materiais adesivos não necessitam de cavidades geométricas ou que retenham mecanicamente a restauração. Por ser adesivo, o material se adapta ao dente, evitando desgastes adicionais;
Preferência por materiais restauradores diretos: as restaurações confeccionadas diretamente pelo dentista preservam mais a estrutura dental quando comparadas às restaurações indiretas. Isto porque as restaurações indiretas, confeccionadas em laboratório, necessitam de encaixes confeccionados as custas do tecido dental para serem fixadas. Os procedimentos indiretos, ou laboratoriais, devem ser utilizados em dentes com ampla perda de estrutura dental, por exemplo, perdas de mais de 50% da estrutura da coroa do dente.
Colagem de fragmentos: dentes anteriores fraturados são situações comuns para crianças entre 7 e 12 anos, especialmente do sexo masculino. Sempre que possível, deve-se armazenar o fragmento em soro fisiológico, leite ou água, sem lavar o mesmo. Em seguida, conduzir ao dentista, o mais breve possível, o indivíduo que sofreu o trauma. Nos casos em que o fragmento é localizado, este pode ser colado ao dente remanescente com materiais adesivos, restabelecendo a estética, anatomia e função ao indivíduo, e principalmente, minimizando o seu sofrimento decorrente do trauma. No casos em que o fragmento não é localizado ou o seu aproveitamento é impossível, é realizado o procedimento restaurador, geralmente sem desgaste adicional ao dente remanescente.
Inlays e Onlays: são restaurações indiretas, confeccionadas em laboratório e, posteriormente, cimentadas aos dentes posteriores do paciente. Estas restaurações podem ser consideradas próteses fixas adesivas parciais e sem metal. Geralmente constituídas de cerâmica, mas podem ser confeccionadas também em resina laboratorial;
Próteses fixas sem metal: são próteses de cerâmica pura, adesivas, de cobertura total, fixadas individualmente sobre a raiz dos dentes. Por eliminarem o metal, são altamente estéticas, confundindo-se aos dentes naturais do indivíduo.
O futuro da Dentística
A Dentística é uma das áreas da Odontologia que mais avança em desenvolvimento tecnológico e científico. Num futuro próximo, poderemos dispor de tratamentos que dispensem o uso de anestesias e brocas, substituindo-as por preparos a laser, ou por substâncias químicas que dissolvam a cárie (esta última já é uma realidade, porém, com aplicação muito limitada, que demanda tempo e melhor aceita em odontopediatria).
Também estão sendo desenvolvidos materiais que eliminam a contração durante o endurecimento, diminuindo as falhas durante a confecção bem como a infiltração marginal e aumentando a longevidade das restaurações. No entanto, o presente ainda nos reserva tratamentos convencionais, e com limitações, que dependem do conhecimento técnico e da habilidade do dentista, além dos cuidados do próprio paciente.
A despeito de todo o avanço tecnológico, a medida mais eficaz ainda é a prevenção, sendo necessário para a sua realização um trio de baixíssimo custo: escova, pasta e fio dental.


