A estética em dentística restauradora é a arte de criar, combinar, reproduzir, copiar e mimetizar materiais artificiais com as estruturas dentárias, a fim de transformá-los em procedimentos imperceptíveis, harmonizando dentes, lábios e sorriso com a face do paciente.
O objetivo da estética não se resume apenas à restauração da forma e função dos elementos dentários, mas também em restabelecer um novo sorriso, de acordo com os desejos do paciente.
Estes procedimentos devem ser guiados por conceitos físicos e científicos.
Diante disto, pode-se estabelecer que a dentística preventiva e restauradora pode ser desenvolvida tanto por especialistas quanto por clínicos gerais. Já a excelência estética em odontologia restauradora é melhor desenvolvida por especialistas em dentística, por terem aprofundados seus estudos e conhecimentos dos fundamentos da estética e da física dos materiais.
Os procedimentos mais comuns envolvidos ao conceito da estética em Dentística são:
Clareamento dental: pode ser empregado tanto em dentes vitais quanto não-vitais (dentes com tratamento de canal) e baseia-se na aplicação de agentes químicos que, por uma reação de oxidação, removem pigmentos ou alteram a cor dos dentes, tornando-os mais claros.
A escolha da técnica clareadora depende do tipo de alteração de cor dos dentes, das preferências do profissional e do paciente. Assim podemos clarear dentes vitais por meio do clareamento caseiro, com moldeiras, ou do realizado em consultório.
Os agentes clareadores, na maioria, são a base de peróxido de hidrogênio entre 5 e 35% ou peróxido de carbamida, com concentrações compreendidas em 10, 16, 25 ou 35%. O resultado final do clareamento é semelhante em ambas as técnicas, porém, a mais segura é com moldeiras por utilizarem-se substâncias com concentrações mais baixas. Relevante salientar que, na técnica em consultório, o laser não clareia os dentes, é apenas um equipamento que supostamente acelera o tratamento clareador;
Microabrasão: técnica que remove seletivamente estruturas superficiais do esmalte dental, como alteração de textura, forma ou cor. Aplicam-se pastas com pontas polidoras a fim de promover desgastes imperceptíveis. Nesta técnica, desde que a alteração seja superficial, não há necessidade de restauração do dente;
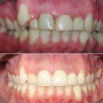
Restaurações estéticas: são procedimentos restauradores que, além de devolver ao dente a sua anatomia e função, tornam a própria restauração imperceptível aos olhos do observador. São restaurações confeccionadas com uma série de materiais, com cores, opacidades e transparências diferentes, que em conjunto formam a ilusão ótica de ser o próprio dente do paciente;
Facetas estéticas: são restaurações também conhecidas como laminados estéticos. Isto porque são técnicas que revestem a parte externa dos dentes, alterando a forma, a cor, as dimensões dos dentes, a fim de devolver a harmonia do sorriso. As facetas podem ser de resina composta, confeccionada pelo próprio dentista, ou de cerâmica, confeccionada em laboratório e posteriormente fixada ao dente pelo dentista.








